News
Scientists map the "sewage system" of the human brain for the first time
Deep in the crevices of the human brain, scientists have for the first time mapped the dynamic intricacies of the underlying "plumbing network." This "sewage system" was discovered in 2012 in mice.
Scientists assumed that humans also have such a system. However, only data from careful studies finally confirmed the existence of the glymphatic system in the human species, ScienceAlert writes.
According to experts, this "sewage system" transfers cerebrospinal fluid (CBF), which washes the outside of the brain, to the inside, delivering nutrients and removing waste, such as proteins that form clots in Alzheimer's disease.
Since 2012, several studies have shown that the glymphatic system exists in the human brain. However, because scientists could not see the fluid moving from outside the brain into the space between neurons, the idea remained highly controversial.
"I've always been skeptical myself, and there are still a lot of skeptics who still don't believe it. That's what makes this discovery so important," said OHSU neuroscientist Juan Piantino.
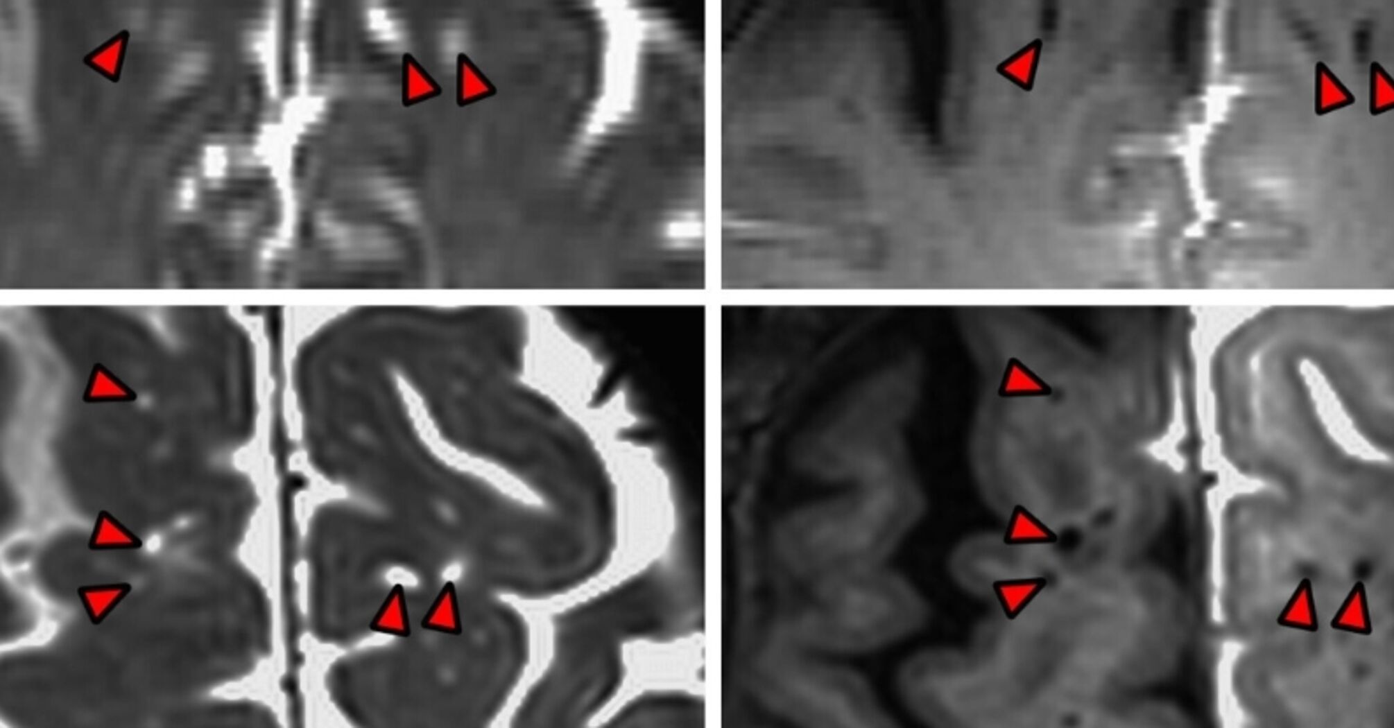
Piantino and his colleagues at OHSU are the first to depict the colorless fluid as it infuses into the brain tissue of a living person.
The study was made possible thanks to the consent of five adults who had undergone brain surgery and needed to have CBF injected for the procedure. So before replacing the fluid, the scientists marked it with a dark contrast marker. Later, a special type of magnetic resonance imaging showed the place where the fluid went into the brains of the study participants.
The findings indicate that the human brain does not absorb cerebrospinal fluid haphazardly, like a sponge. Instead, the fluid penetrates deeper into the neurological tissue and follows the traces of blood vessels.
Scientists emphasize that the cerebrospinal fluid channels are not stagnant, fluid-filled structures, but functional. They contribute to the "spread of CBF in the brain."
Only verified information is available on the OBOZ.UA Telegram channel and Viber. Do not fall for fakes!






















